Pourquoi les dents jaunissent
Pourquoi les dents jaunissent
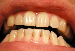
Les dents peuvent jaunir pour plusieurs raisons liées à l’alimentation, aux habitudes de vie et au vieillissement naturel. L’émail, qui est la couche protectrice blanche des dents, peut s’user avec le temps, laissant apparaître la dentine, une couche interne plus jaune.
Certaines boissons et aliments contribuent aussi au jaunissement des dents. Le café, le thé, le vin rouge ainsi que les aliments très colorés comme les sauces foncées ou les baies peuvent tacher progressivement l’émail. Une mauvaise hygiène bucco-dentaire peut également favoriser l’accumulation de plaque et de tartre, ce qui change la couleur des dents.
Le tabac est une autre cause importante, car la nicotine et le goudron se déposent sur les dents et les colorent avec le temps. Enfin, certains médicaments ou facteurs médicaux peuvent aussi influencer la teinte dentaire.
Ainsi, bien que le jaunissement des dents soit fréquent et souvent naturel, il peut être réduit grâce à une bonne hygiène, des soins réguliers et de bonnes habitudes de vie.
